About KDCC
Quality Dental Care in, Bangalore
Experience unparalleled dental services with state-of-the-art technology and compassionate care at Kaggalipura Dental Care Center.
Excellence in Dental Care
Excellence in Dental Care
At Kaggalipura Dental Care Center, we are dedicated to delivering superior dental services throughout Bangalore, utilizing state-of-the-art technology and a team of skilled professionals who prioritize patient comfort and care, as we focus on providing tailored treatment plans to ensure each patient receives unparalleled attention and the utmost standard of dental care.
State of the art Devices and Equipment
At Kaggalipura Dental Care Center, we believe that cutting-edge technology plays a vital role in elevating dental care, ensuring our patients receive the best possible outcomes.
Our commitment to staying at the forefront of innovation means that we invest in the latest state-of-the-art machines and equipment designed to enhance precision, comfort, and efficiency in every procedure.
These advancements not only streamline our processes but also result in less invasive treatments and quicker recovery times, allowing our dedicated team to provide comprehensive and result-oriented services tailored to your unique needs.
With each visit, you can trust that we are equipped with the finest tools to deliver exceptional dental care, helping you achieve a healthier and brighter smile.
Meet Our Expert Team
Our team of dental professionals is committed to delivering exceptional care with a personal touch. Each member brings a wealth of experience and expertise to ensure your oral health is in the best hands.

Dr Ameen
Founder and MD.
BDS, MDS, PGDCR (endo), PGDMLE (NLSIU), CDS (RCSI, UK)
Consultant perioplastic surgeon and implantologist,
Consultant micro-endodontist and smile designer.

Dr Anup Singhvi
Consultant orthodontist and dentofacial orthopaedics
BDS , MDS, M ortho ( RCSI ,UK)
Experience in handling more than 10,000+ cases since 15yrs

Dr Haneefa Anjum
Senior dental surgeon
BDS, certificate in conservative dentistry and endodontics.
Experience of 8 yrs in handling 5000+ cases
Our Dental Services

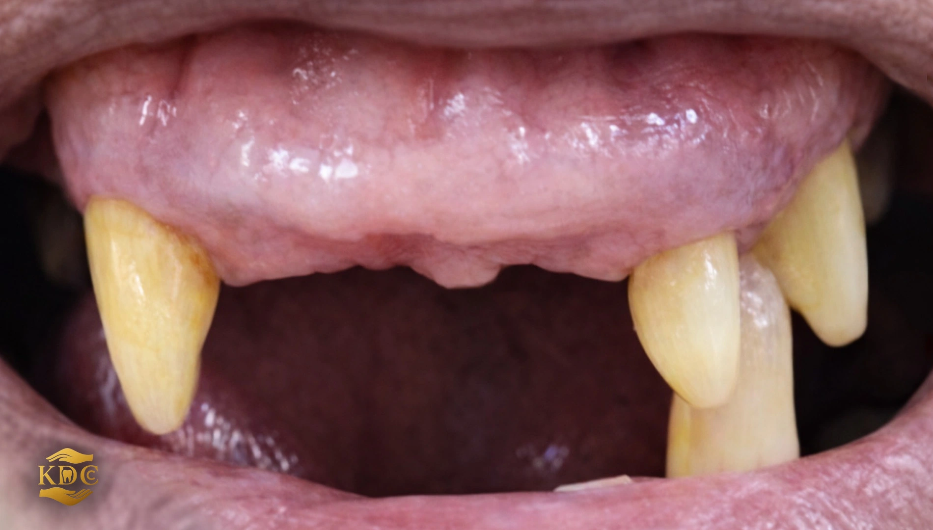
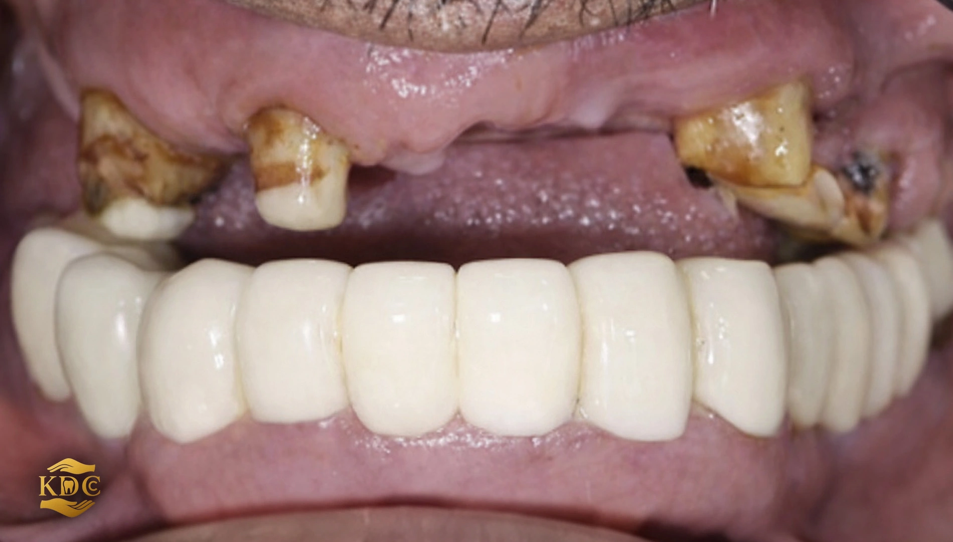
Implants
Immediate implants with teeth in 3 days (basal/conventional)

Full Mouth Rehabilitation
Rehabilitation with implants or tooth-supported dentures

Laser Treatment
Painless laser root canal treatment in single sitting with crown on the same day

Maxillofacial Surgery
Cyst removal , fracture reduction and imf and orthognathic surgeries

Teeth Cleaning

Mouth esthetics

Crown and Bridges

Full mouth Rehabilitation
What Our Patients Say
Schedule Your Appointment Today
Experience exceptional dental care at Kaggalipura Dental Care Center. Our state-of-the-art facilities and expert team are ready to provide you with the best treatment options available. Don’t wait—take the first step towards a healthier smile.

